Latest News

fot. mat. promocyjne
The ‘Nature’ journal has published a groundbreaking article on the HepS protein in Salmonella enterica bacteria, co-authored by dr Grzegorz Grabe from the Department of Structural Biology at the… czytaj więcej

EDUopinions 2026: UG among the 10 best universities in Europe, according to students and graduates

The University of Gdańsk was among the 10 best-rated universities in Europe, ranking 9th in the EDUopinions 2026 ranking, based on the opinions of… read more

A Polish-Turkish Centre for Studies will be established at the University of Gdańsk

The Polish-Turkish Centre for Studies, which will be established at the University of Gdańsk, is intended to develop research cooperation between… read more

The University of Gdańsk strengthens its position in the QS ranking!

In 2026, the University of Gdańsk is ahead of 66.6% of all classified European universities, which is a clear improvement compared to previous years… read more

UG Visiting Professors - laureates of the 6th edition of the programme

The results of the 6th call for applications for the ‘UG Visiting Professors’ programme are now known. This year, thanks to funding under this… read more

Researchers from the Faculty of Biology at the University of Gdańsk receive Fulbright grants

Two researchers from the University of Gdańsk will travel to the United States as part of the Fulbright STEM Impact Award grant programme. In the… read more

The University of Gdańsk nominated in the third edition of the Równowaga competition

Równowaga. Prokobieca Firma Roku (Balance. Pro-women company of the year) is a competition promoting Polish companies, non-governmental organisations… read more

A new perspective on the action of tailocins. Prestigious publication by the IFB UG and MUG team

Researchers from the Intercollegiate Faculty of Biotechnology UG and MUG have published a paper that sheds new light on how bacteria interact with… read more

Three scientists from the University of Gdańsk receive Bekker NAWA scholarships!

The results of the Mieczysław Bekker Scholarship Programme (Bekker NAWA) for 2025 are now known. Among those selected to receive funding for research… read more

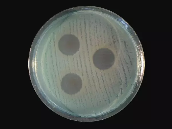
Antibacterial agent combating Pseudomonas aeruginosa – a new patent by scientists from the University of Gdańsk

An innovative agent combating antibiotic-resistant bacteria, Pseudomonas aeruginosa (blue pus bacillus), based on the synergy of naphthoquinone and… read more

11. International Conference Living Knowledge: „Research and Solidarity” - call for papers is open until 31 January

This year's 11th International Living Knowledge Conference (under the slogan ‘Research and Solidarity’), focused on participatory research, socially… read more