Zdjęcie dr hab. Magdaleny Narajczyk jednym z najlepszych w konkursie FEBS!

1

Zdjęcie wykonane przez Kierowniczkę Laboratorium Bioobrazowania na Wydziale Biologii UG dr hab. Magdalenę Narajczyk, zostało wyróżnione jako jedno z dziesięciu najlepszych zdjęć w konkursie fotograficznym Bio-Art: „The beauty behind biological sciences”, zorganizowanym przez FEBS (Federation of European Biochemical Societies).

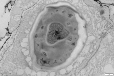
Zdjęcie wykonane przez dr hab. Magdalenę Narajczyk z Wydziału Biologii UG przedstawia ultrastrukturę jednego z organelli w gonoforze (narządzie rozrodczym) rurkopława. Analizy ultrastruktury tego rurkopława wciąż są w trakcie badań, więc trudno jednoznacznie określić rolę tego organellum. Zgłoszone zdjęcie powstało dzięki współpracy z dr. Maciejem Mańko z Wydziału Oceanografii UG.

- Znalezienie się wśród 10 finalistów tak prestiżowego konkursu to dla mnie ogromne wyróżnienie. To niezwykle miłe, że praca, którą wykonuję, została doceniona przez niezależne grono naukowców. Piękno tkwi w szczegółach, które mam przyjemność obrazować na co dzień - mówi dr hab. Magdalena Narajczyk.

Konkurs fotograficzny Bio-Art: „Piękno kryjące się za naukami biologicznymi” został zorganizowany przez Stowarzyszenie Europejskich Towarzystw Biochemicznych FEBS (Federation of European Biochemical Societies - FEBS) w ramach obchodów 60-lecia stowarzyszenia.

Zgłoszenia fotografii dr hab. Magdaleny Narajczyk do konkursu na najlepsze obrazy z użyciem technik mikroskopii dokonał prof. Grzegorz Węgrzyn jako członek Polskiego Towarzystwa Biochemicznego, należącego do FEBS.

Julia Bereszczyńska/Zespół Prasowy